Pacientiem, kuriem ceļa locītavā ir sācies skrimšļa nodilšanas process jeb osteoartrīts, mūsdienu medicīna piedāvā dažādus risinājumus deģeneratīvo pārmaiņu izraisīto sāpju un kustību ierobežojumu mazināšanai. Ceļa locītavas endoprotezēšana jeb locītavu virsmu pilnīga nomaiņa, ievietojot implantu, ir viena no zināmākajām. Pirms tik kardinālas ārstēšanas metodes ir vērts apsvērt, ko citu, gan laikus pirms skrimslis nav neglābjami cietis. Tā ir osteotomija, kurā tehniski mainot kājas ass leņķi un smaguma centru ceļa locītavā, metode ļauj saglabāt dabisko skrimsli, vienlaikus samazinot arī sāpes un kustību ierobežojumus.
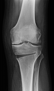
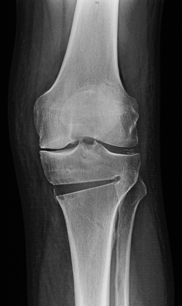
Apakšstilba osteotomija ir piemērota ārstēšanas metode pacientiem, kuriem osteoartrīts ceļa locītavā veidojas slodzes centra nobīdes rezultātā. Tipiski, ka osteoartrīta skartā locītavas skrimšļa daļa ilgāku laiku nesusi lielāku svara daļu, nekā tai anatomiski paredzēts, un nodilusi vairāk, pastiprinot slimības simptomus.
Pirmās apakšstilba osteotomijas veiktas jau pirms vairāk nekā 60 gadiem, gadījumos, kad pacientiem tika konstatēts vienas ceļa locītavas puses nodilums ar deģeneratīvu tendenci. Osteotomija ir palīdzējusi gan gados vecākiem un mazāk aktīviem cilvēkiem, gan parādījusi daudzsološus rezultātus, ārstējot jaunus pacientus ar augstākām prasībām ikdienas aktivitātēm.
“Šī metode netiek bieži piedāvāta, jo prasa kompleksu pacienta novērtēšanu un operācijai ir sarežģīta izpildījuma tehnika, kas no speciālista prasa atbilstošas zināšanas un iemaņas,” skaidro Dr. Kaspars Ūdris.
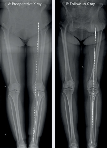
Lai noskaidrotu, vai šāda koriģējošā osteotomija būs pacientam piemērota, tiek veikti rentgenuzņēmumi, nosakot kāju varus/valgus leņķi, būtībā izsecinot, vai svars tiek vairāk nests uz ceļa iekšējās vai ārējās malas. Tiek uzskatīts, ka normāla kājas ass ir 5-7 grādi valgus pozīcijā, kad ceļgals ir nedaudz vērsts uz iekšu. Rentgens tiek veikts abām kājām visā to garumā, tajā tiek novilktas divas asis, mehāniskā un anatomiskā ass, kas norāda uz koriģējošo leņķi un ļauj pieņemt lēmumu kāda korekcija jāveic, lai pacients atgūtu anatomiski pareizu ceļa locītavas stāvokli.
Papildu tam tiek veikta arī stājas, gaitas pārbaude, un testi, lai noteiktu saišu stabilitāti un izvērtētu locītavas kustības. Pārbaudīta tiek arī augšstilba un ceļa kauliņa (patellofemorālā) locītava. Ņemot vērā saišu un citu locītavas struktūru atbildes reakcijas šajos izmeklējumos, iespējams diagnosticēt locītavas vienas puses osteoartrītu, kas ir indikācija koriģējošai osteotomijai.
“Diemžēl pacienti ilgstoši sadzīvo ar sāpēm un bieži vēršas pie speciālistiem novēloti, kad osteoartrīts jau ir progresējis tik tālu, ka neatliek nekas cits kā vien veikt pilnu ceļa locītavas nomaiņu jeb endoprotezēšanu. Es gribētu uzsvērt, ka, konsultējoties ar speciālistiem laicīgi, ir iespējami arī citi, saudzīgāki risinājumi, piemēram, osteotomija,” saka Dr K.Ūdris
Ko tieši dara, veicot apakšstilba osteotomiju? Šāda operācija parasti norit 40 līdz 60 minūtes, pacientam atrodoties spinālajā narkozē. Veicamā operācija ir iepriekš rūpīgi plānota, nosakot korekcijas leņķi. Osteotomijas operācijā tiek veikta daļēja apakšstilba kaula iezāģēšana. Atverot osteotomijas vietu tiek pacelta ceļa locītavas virsma, un līdz ar to mainās kājas ass, un locītavas slodze ir izbalansēta.
Atvērtajā kaula daļā tiek likts kaula autotransplantāts, kas ņemts no paša pacienta kaula, vai arī sintētisks materiāls, kas veicina jaunu kaulaudu veidošanos. Ar laiku – vidēji divi līdz četri mēneši – kaula atvērums dabiski aizpildās ar jauniem kaulaudiem. Lai paātrinātu šos šūnu atjaunojošos procesus, iespējams izmantot PRP (plazma) jeb trombocītiem un augšanas faktoriem piesātinātu materiālu, kas tiek iegūts no paša pacienta asins parauga.
Savukārt, lai šajā dzīšanas procesā kaula atvērums būtu stabils, tiek izmantoti stabilizējoši implanti. “Es esmu izvēlējies implantu sistēmu, kas ir no droša, biosaderīga poliēterēterketona materiāla un nodrošina papildus operētās vietas stabilitāti sadzīšanas laikā. Tas kalpo kā ķīlis, ko ievieto atvērumā, stabilizējot koriģēto leņķi,” skaidro Dr K.Ūdris.
Pēc operācijas pacientam divus mēnešus ir jāvalkā ceļa locītavas ortoze, pakāpeniski atsākot operētās kājas slogošanu. Rehabilitācijas process ilgst no 8 nedēļām līdz 3-4 mēnešiem. Operācijas veiksmīgs iznākums lielā mērā ir atkarīgs no dažādiem apstākļiem, tostarp liekā svara, ja tāds ir, un noteikti ietekmētu arī blakus saslimšanas kā reimatisms jeb jebkura cita sistemātiska slimība.
Vai vēlaties uzzināt vairāk par osteotomijas produktiem? Sazināties!
Mara Vetra-Likova
Produktu speciālists
+371 266 97 744
lv@stage.bonameda.com

















